Transformamos sorrisos com odontologia de excelência.
Implantes dentários com alta tecnologia
Facetas de porcelana e resina
Limpeza, restaurações e tratamentos clínicos
Consultório no Butantã, São Paulo – SP
Atendemos de forma particular.
Caso tenha convênio, emitimos a guia para reembolso.
• Dentista com 8 anos de atuação clínica
• Especialista em implantes com cirurgia guiada
• Doutorando em prótese e biomateriais na Alemanha (Universidade de Aachen)
• Desenvolvedor de tecnologias para odontologia digital
• Atendimento com equipamentos de última geração
• Atuação voluntária na ONG Doutores da Amazônia
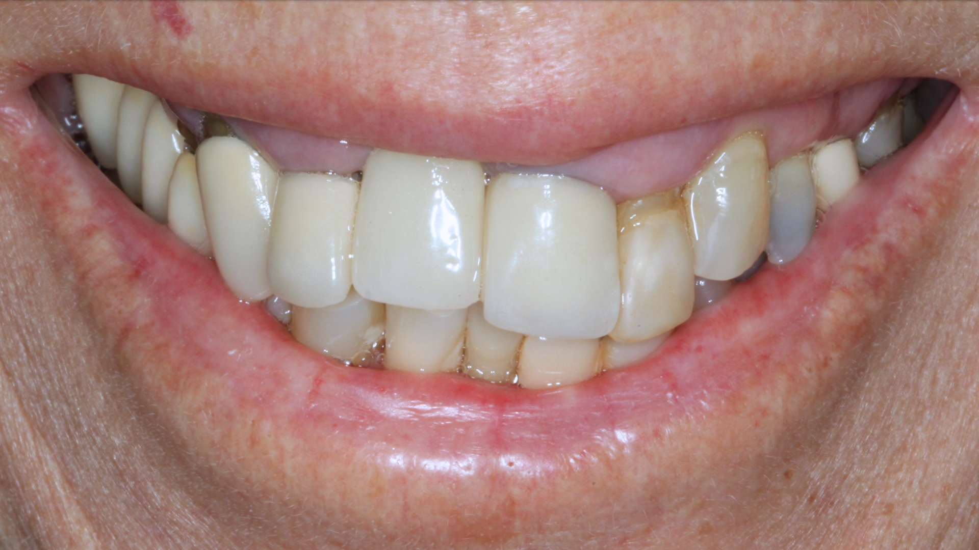
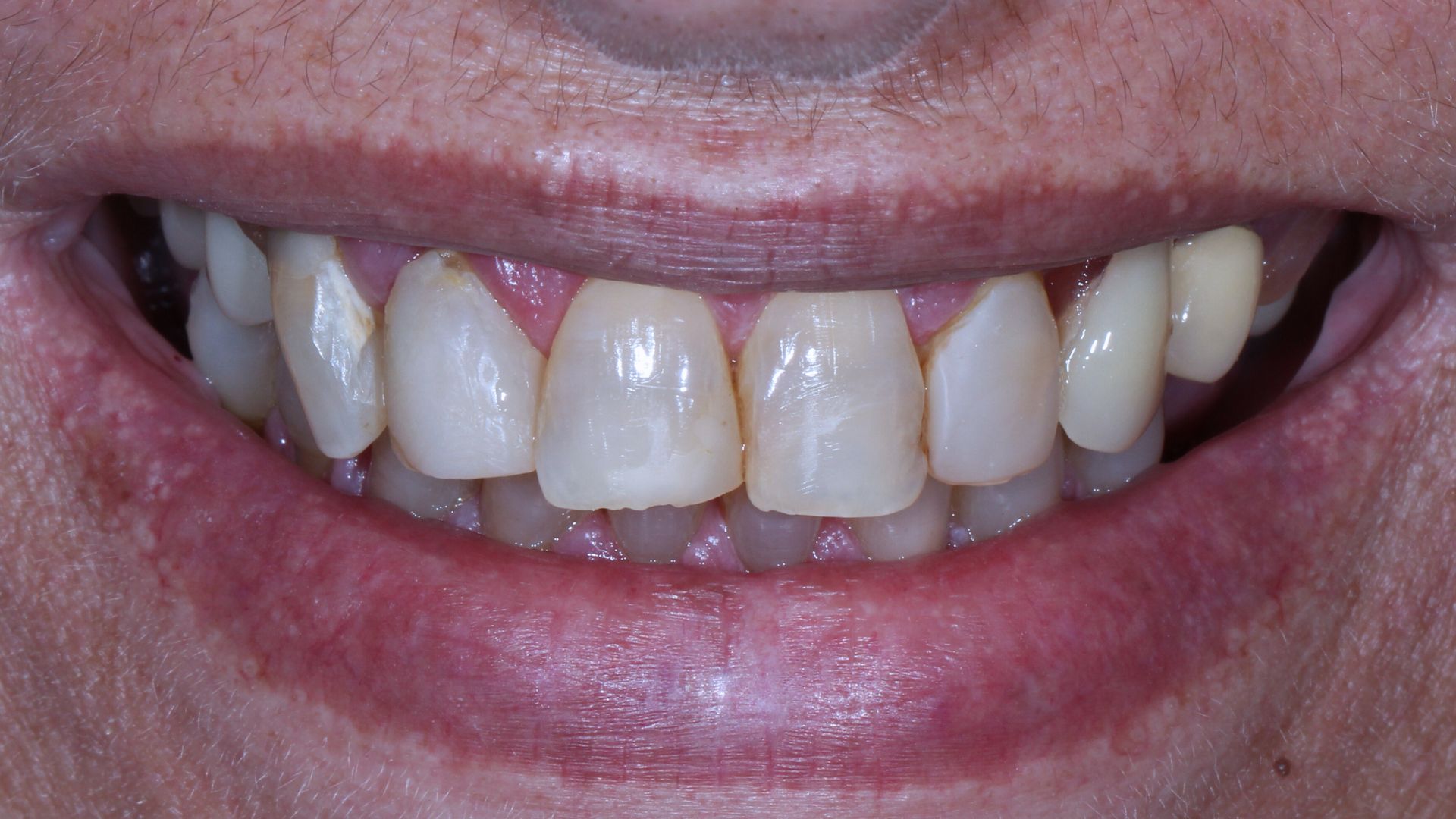
Arraste para o lado e veja os resultados!






Dr. Gustavo Ismael – Cirurgião Dentista


Dr. Gustavo Ismael – Cirurgião Dentista


Dr. Gustavo Ismael (CRO-SP XXXXXX) – Cirurgião Dentista
Caso sua dúvida não esteja coberta nas respostas abaixo, por favor, entre contato pelo nosso Whatsapp!
Inova Praxis
Odontologia Digital
Olá, tudo bem? Clique no botão abaixo e tire suas dúvidas pelo whatsapp!
Powered by Elementor